logo
事件
家へ > 事件 > Shenzhen Yurucheng Dental Materials Co., Ltd 最近の会社事件について 4Dジルコニアブロック
イベント
連絡 ください
86-0755-28228526
今連絡してください

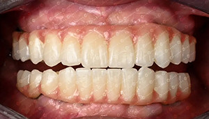
4Dジルコニアブロック

2024-08-29

最新の企業ニュース 4Dジルコニアブロック

マスター:ブルガリア出身のイヴァイロ・ディミトロフ
材料:ユセラ4Dプロ 多層ジルコニアディスク
シェード:A1

問い合わせを直接私たちに送ってください.

プライバシーポリシー 中国 良質 歯科ジルコニアのブロック 提供者 著作権 2020-2025 Shenzhen Yurucheng Dental Materials Co., Ltd すべての権利は保護されています.